马来西亚KLCI指数收盘上涨0.6%... 华尔街见闻早餐FM-Radio | 2025年1月25日... 5年渡劫!该信托项目全额兑付到账... 沪深300股指期货(IF)主力合约涨0.61%... “多喜乐,长安宁” 重庆夜景中的巨幅“春联”你get没...
栏目分类
热点资讯
>> 你的位置:幼儿园体育游戏玩法 > 新闻动态 > 长沙一6岁女孩来月经,确诊假性性早熟,医生称一个月接诊4例相关患儿

长沙一6岁女孩来月经,确诊假性性早熟,医生称一个月接诊4例相关患儿

发布日期:2025-03-09 03:40    点击次数:72

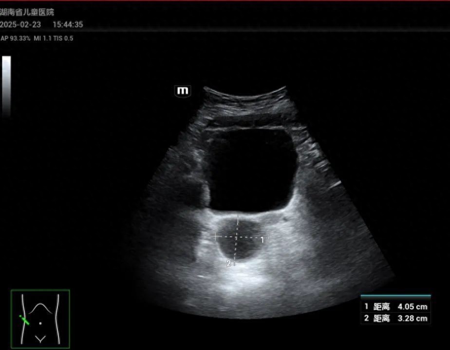
  通讯员 | 柳娜 记者 | 任弯湾家住望城的陈女士怎么也想不到,年仅6岁的女儿晗晗(化名)竟来了月经。最近,陈女士将孩子带到湖南省儿童医院肝病内分泌科就诊,经过副主任医师谭艳芳体查发现,晗晗乳房已有发育变大迹象,B超报告显示“盆腔偏右侧囊性包块,左侧卵巢可见多个直径大于4mm的卵泡,双侧乳房可见腺体回声”。谭艳芳告诉陈女士,孩子是外周性性早熟,可能需要手术治疗。近段时间,该科连续接诊了4例6-8岁女童来月经的病例,均以“阴道出血”为主要症状就诊。经详细询问病史、体格检查及相关辅助检查,最终考虑诊断为性腺肿瘤或囊肿所致的外周性性早熟。湖南省儿童医院肝病内分泌科副主任医师谭艳芳表示,外周性性早熟又称假性性早熟,是由于各种原因引起的体内性甾体激素升高至青春期水平,从而导致女孩7岁半前乳房发育,10岁前来月经,男孩9岁前出现第二性征发育的一种内分泌疾病,但不伴有下丘脑-垂体-性腺轴的启动。值得注意的是,4例患儿盆腔B超均提示存在囊性包块。谭艳芳表示,当女孩单纯出现阴道出血时,要注意排除阴道感染、异物或肿瘤等,需进一步排查病因。谭艳芳提醒,家长要密切关注孩子的生长发育情况,如果发现女孩7岁半前乳房发育,10岁前来月经,男孩9岁前出现睾丸增大、阴茎增长、阴毛生长等第二性征发育迹象,应及时带孩子到医院就诊。平时避免孩子接触含有激素的食品、药品和化妆品;养成良好的生活习惯,保证充足的睡眠,避免熬夜,控制体重,避免肥胖。营造良好的家庭氛围,避免给孩子过大的精神压力。儿童性早熟是一种可以治疗的疾病,早发现、早诊断、早治疗至关重要。部分性早熟可能与肿瘤等疾病相关,需引起重视。如果孩子出现疑似性早熟的症状,请及时带孩子到正规医院就诊,进行专业的诊断和治疗,以免耽误病情,影响孩子的身心健康。来源: 潇湘晨报

上一篇:5年间,中国持有美债数据对比,2019年1.07万亿,如今是多少?

下一篇:奔驰让3万员工自愿离职,有人可获400万元遣散费!

Powered by 幼儿园体育游戏玩法 @2013-2022 RSS地图 HTML地图